DÀY SỪNG DA DẦU (Dày sừng tiết bã)
1. ĐẠI CƯƠNG
Dày sừng da dầu là tổn thương da lành tính. Bệnh hình thành bởi sự tăng sinh đột biến tế bào sừng ở thượng bì , tăng yếu tố phát triển biểu bì và thụ thể , tế sinh tế bào hắc tố .
Bệnh gặp cả hai giới, người lớn tuổi, hay gặp ở người da trắng hơn người da
Các yếu tố chính bao gồm:
Lão hóa: Thường gặp nhất ở những người trên 50 tuổi.
Yếu tố di truyền: Thường có tính chất di truyền trong gia đình.
Tiếp xúc với ánh nắng mặt trời: Có thể góp phần gây ra một số tổn thương da.
Đột biến gen như FGFR3 và PIK3CA có liên quan đến sự phát triển của bệnh
Vùng da ma sát có thể là lí do khiến dày sừng da dầu xuất hiện ở nếp gấp cơ thể
2. LÂM SÀNG
Tổn thương với những biểu hiện rất khác nhau :
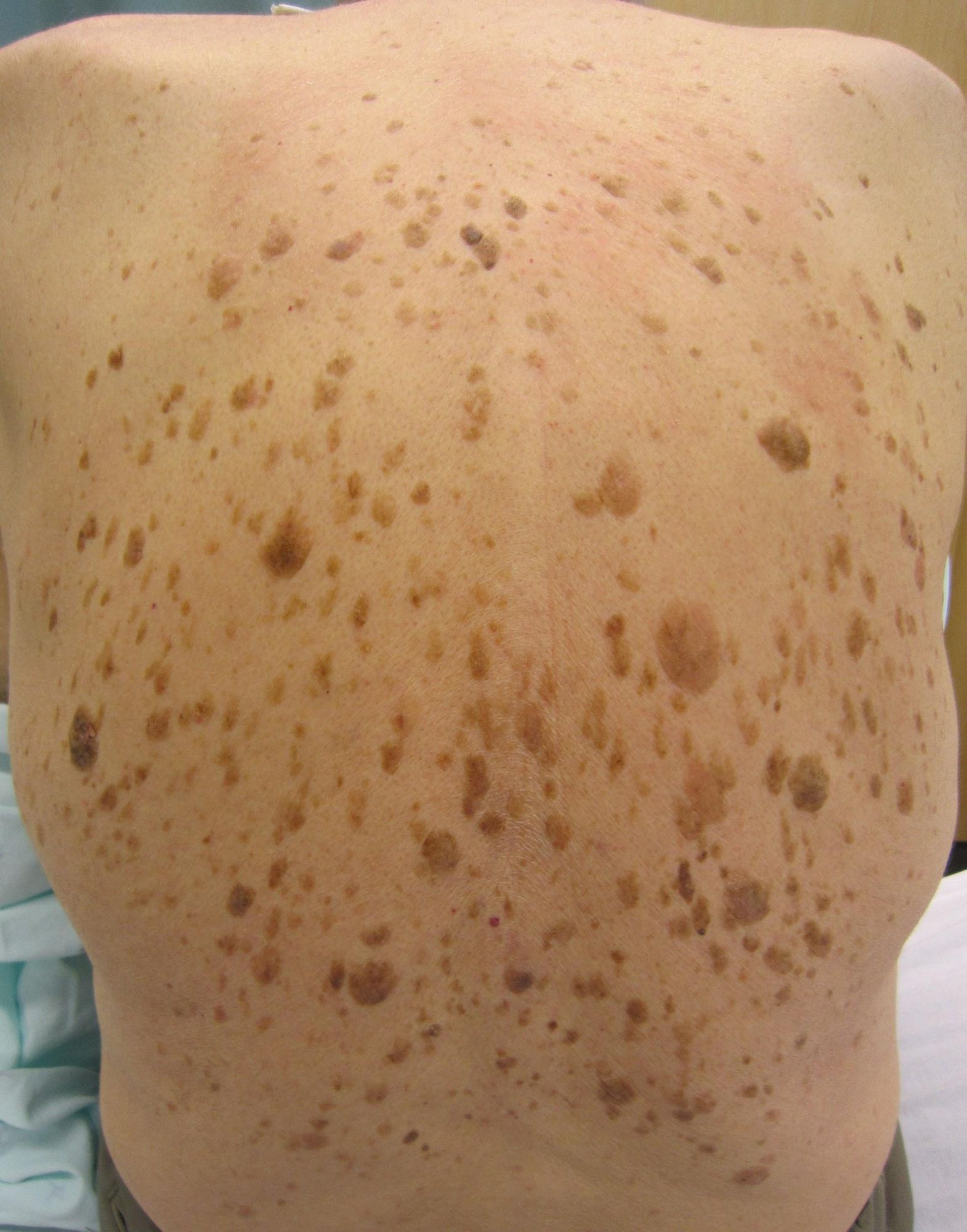
Tổn thương da: dát, sần đỉnh phẳng, hoặc sần có dày sừng bề mặt,
Màu sắc nâu sáng, vàng, xám , nâu nhạt , nâu đậm , đen hoặc có màu hỗn hợp
Đôi lúc có vày dính vàng
Hình tròn hoặc bầu dục, ranh giới rõ, đường kính từ 1mm đến vài cm , đơn độc hoặc nhiều tổn thương
Phân bố ở thân mình, đầu mặt, cổ, tay chân, không có tổn thương niêm mạc, lòng bàn tay, bàn chân.
Một số trường hợp dày sừng da dầu trở nên kích ứng, viêm đỏ, chảy máu do chà xát, cào gãi. Những tổn thương dày sừng da dầu phát triển nhanh, hình thái không điển hình, vị trí bất thường, nên được xem xét cẩn thận.

Ảnh minh họa nguồn internet

Ảnh minh họa nguồn internet

Ảnh minh họa nguồn internet
3. CHẨN ĐOÁN PHÂN BIỆT
Hạt cơm thường
Dày sừng ánh nắng
Bớt sắc tố
Ung thư tế bào đáy thể tăng sắc tố
Ung thư hắc tố
4. ĐIỀU TRỊ
Chỉ định điều trị: Khi tổn thương gây kích ứng, ngứa, đau, nghi ngờ ác tính hoặc ảnh hưởng đến thẩm mỹ
Hiện trung tâm da liễu Hải Phòng, chúng tôi áp dụng chủ yếu phương pháp điều trị bằng Laser CO2 kết hợp tiêm tê hoặc bôi tê tại chỗ. Phương pháp điều trị hiệu quả tác động trực tiếp vào vùng tổn thương, thời gian điều trị nhanh , ít chảy máu, an toàn, giảm nguy cơ tái phát so với các phương pháp cơ học .
5. KẾT LUẬN
Tóm lại , dày sừng da dầu là tổn thương da lành tính nhưng có biểu hiện rất da dạng . Do đó trong một số trường hợp người bệnh cần thăm khám sớm để phân biệt với thương tổn ác tính và điều trị kịp thời .
BSCK1 Ngô Quốc Tiến
Khoa Khám bệnh


